Research Feature

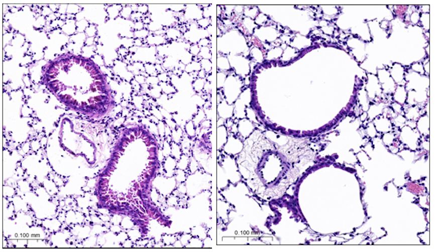
Mouse study hints at potential for asthma ‘cure’, says scientist
His father’s long battle with asthma drove a Tsinghua University researcher to search for a life-changing treatment for the common respiratory disease.

Solar savings are heating up for homeowners
Residential rooftop solar is likely to make increasing financial sense, say Tsinghua researchers.

Zoom-in the natural human skin, and sketch it with intelligent three-dimensional electronics
Created by nature, the human skin shows powerful sensing capabilities that have been pursued by scientists for a very long time. However, it is challenging for today’s technologies to replicate the spatial arrangement of the complex 3D microstructure of human skin, nevertheless its beauty of sen...

Biodegradable medical implants for easier health monitoring and treatment
Medical devices that can be broken down and excreted by the body could reduce the number of surgeries needed to remove implantable sensors and stimulation devices.

Staying on the move may prevent inflammation and improve sleep
Sedentary behavior has been linked to increased inflammation and sleep disturbance in a major new study — but exercise can help on both fronts, according to Tsinghua researchers.Spending long periods sitting or lying down may lead to increased inflammation in the body, resulting in poorer qualit...
010-62793001
webmaster@tsinghua.edu.cn